症例紹介

大腿骨骨折

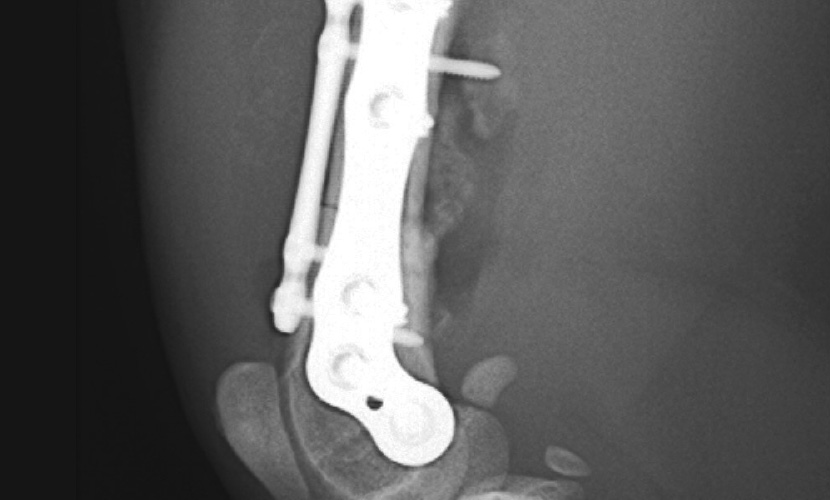
診断

右大腿骨遠位横骨折 腹尾側変位

症例

雑種猫 1歳 雄

稟告

交通事故。
他院にてバンテージを巻いていたが良化せずセカンドオピニオン。

術式

Fixinダブルプレート(2.5mm、1.7mm)

経過

術後10日で走り回る。

レントゲン画像
レントゲン画像

病気・症例紹介