症例紹介

脛骨骨幹部らせん骨折

診断

脛骨骨幹部らせん骨折(右後肢)

症例

トイプードル 4ヵ月齢 雌 体重1.62㎏

稟告

胸の高さから落としてしまった。以後右後肢挙上

術式

サークラージワイヤ&プレート固定

経過

術後3日目より患肢負重、術後1週間後歩様正常。

術前レントゲン画像

【術前レントゲン画像】

 脛骨骨幹部斜骨折、腓骨近位骨幹部斜骨折に加えて、前後像では脛骨遠位骨片に成長板に至るまでの長い亀裂が確認される。腓骨遠位にも若木骨折が疑われる。

術中肉眼所見
術中肉眼所見
術中肉眼所見

【術中肉眼所見】

 脛骨斜骨折をダブルサークラージワイヤで仮固定を行い、ロッキングプレートを使用してほぼ脛骨全長に及ぶ架橋プレート固定を行った。脛骨遠位骨片の亀裂を開大させないよう、遠位骨片へのドリリング時、スクリュー挿入時は常に骨鉗子による圧迫を維持して、亀裂骨折に対してポジションスクリュー固定を行った。

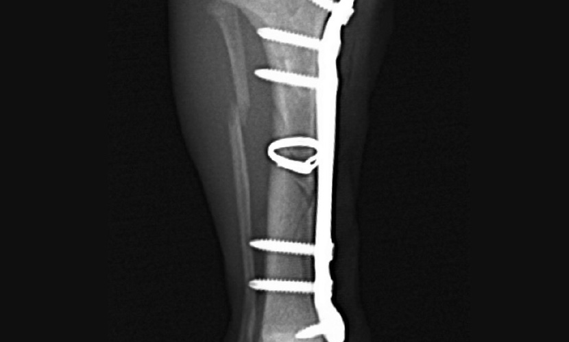
術後レントゲン画像

【術後レントゲン画像】

 脛骨の解剖学的整復が得られている。両端のスクリューは成長板に干渉しないようモノコーティカル固定とした。

病気・症例紹介